Introduction
This information leaflet should provide most of the information you need about your child’s Elbow Injury without evidence of fracture on the X-Ray.
Most children can go home safely without needing further Fracture Clinic visits. If you have concerns or need another appointment, call the fracture clinic using the contact numbers at the end of the leaflet.

What is it?
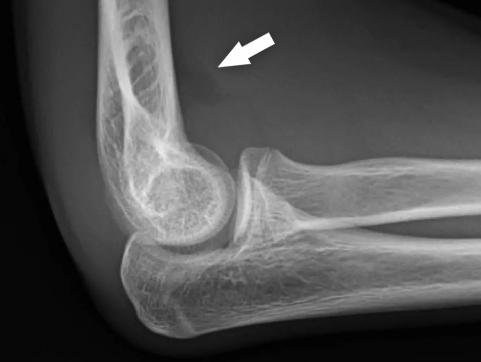
After an injury to the elbow, the joint X-Rays may show a ‘fat pad’ sign, which indicates swelling in the elbow joint and is often seen on X-Rays after a trauma in children. Sometime this can indicate the presence of a fracture, although in many cases there is no fracture seen. If your child has been diagnosed with a fat pad positive injury, they may not want to use their arm initially as it can be quite painful.
How is it treated?
Treatment involves a collar and cuff foam sling or fabric sling that supports the elbow. This can be removed after about 7 days. The sling can be removed for bathing or showering, and it should NOT be worn at night.
For pain you can use simple analgesia such as paracetamol and ibuprofen at the recommended dose for your child’s age.
How long will it take to recover?
The healing process varies, but most children improve within the first week. Sometimes mild pain can persist for a few weeks. Encourage your child to gently move the elbow and other joints in the arm and hand to avoid stiffness.
Do exercises and physiotherapy help?
Elbow injuries in children do not need physiotherapy. They will start to move the arm normally when it becomes less painful.
When can my child return to sports and activity?
Most children can resume sporting injuries once the elbow is less painful, and they can fully straighten it. This can sometimes take up to 3 months following the injury.
Does my child need follow-up?
If there is no fracture or other significant injury, follow-up is not normally required. If there is new or increasing pain, swelling, or tingling, or if there is persistent stiffness in the elbow, please contact the fracture clinic for advice.
Contact
If you have any queries or concerns then please contact the hospital for further advice.
Between the hours of 9:00am and 4:30pm contact the fracture clinic on:
Scunthorpe: 03033 302164
Grimsby: 03033 306127
Goole: 03033 304036
Out of hours – then please contact the Emergency Department via switchboard:
Scunthorpe/Goole: 01724 282282
Grimsby: 01472 874111
Any comments, compliments, concerns or complaints
If you have any other concerns please talk to your nurse, therapist or doctor. Our Patient Advice and Liaison Service (PALS) is available on 03033 306518 (Grimsby, Scunthorpe and Goole). You can also contact [email protected]
As a Trust we value equality of access to our information and services, therefore alternative formats are available on request at [email protected]
NHS Website
NHS website is a health information service. The aim is to support the public to become active consumers of healthcare rather than passive recipients, and to help individuals, their family or carers to make more informed choices: https://www.nhs.uk/
Review information
Date of Issue: December 2025
Review period: December 2027