Introduction
This information leaflet should provide most of the information you need about your Anterior Shoulder Dislocation injury. The consultant will review your X-Rays in the Virtual Fracture Clinic (VFC) and, if this is a first-time dislocation, you will be seen in a face-to-face clinic to ensure you have no risk factors for recurrent dislocation or injuries to other structures around the shoulder. You may receive a telephone call from the fracture clinic about your injury, normally within 1 week of your attendance at the Emergency Department.
When you are discharged from the Emergency Department you should have been given a contact card with a telephone number that allows you to request appointments with the Fracture Clinic if you have any problems. Other useful contact numbers can be found at the end of this leaflet.
You will receive an appointment to attend the Physiotherapy Department for exercises and advice to get your shoulder moving again.
What is it?
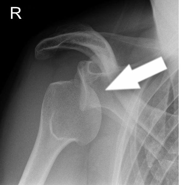
Shoulder dislocation is a common injury where the upper arm bone is displaced from the shoulder socket. These most often occur from a traumatic injury such as a direct blow to the shoulder. The soft tissues around the shoulder can be stretched during the injury and can take some time to heal.

How is the diagnosis made?
When you are seen in the Emergency Department, you will have been assessed by a clinician who is experienced in treating this type of injury. Symptoms and signs of shoulder dislocation include:
- Severe pain around the shoulder
- Immobility of the joint
- Deformity of the shoulder
- Swelling and bruising.
How is it treated?
Immediate treatment involves a procedure called ‘closed reduction,’ which is the non-surgical method to put the shoulder joint back into its normal position (relocation).
You may be given a sling to wear for comfort – you should not wear the sling after 2 weeks. Avoid lifting the arm above 90 degrees during this period to reduce the risk of further dislocation. You may also find it more comfortable to sleep upright in bed for the first few weeks.
Do I need pain relief?
Following relocation of the shoulder, most of the pain should disappear. There may be some residual pain that can be treated with simple analgesia such as paracetamol or ibuprofen at home.
How long will it take to recover?
Healing times can vary. Typically, it takes 6 to 12 weeks to recover fully. However, some activities and sports might require a longer recovery period.
When can I return to work and normal activity?
You should not drive while wearing a sling. It’s generally advised to wait until you have regained sufficient strength and range of motion in your shoulder before driving, which can be around 4 to 6 weeks after the injury.
Returning to activity and sports depends on each person’s recovery and the type of work or sport they do. Low-impact activities might be resumed after about 6 weeks, while contact sports or those that put significant strain on the shoulder may require several months of rehabilitation before resuming.
You will be referred to physiotherapy from the Emergency Department or Virtual Fracture Clinic. Your Physiotherapist can give you more information on return to activity including sports.
Do I need follow-up?
Your X-ray images will be reviewed in a Virtual Fracture Clinic (VFC) by a consultant or a member of team and one of the clinic nurses will call you with a treatment plan. Depending on the outcome of the clinic you will usually have one of the following:
- Face-to-face Fracture Clinic appointment: You will be seen by the consultant or a member of the team for a consultation about your injury
- Telephone appointment: The Fracture Clinic consultant or nurse may call you for a consultation about your injury
- Referral to Physiotherapy: The physiotherapists will provide advice and treatment for your injury. They may give you specific exercises for you to do at home
- Patient Initiated Follow-Up (PIFU): You may be discharged from the clinic, but you may be given a PIFU so that you can request further appointments should you continue to have problems after your injury. We will give you a number to call if this is the case.
Younger patients are at higher risk of developing recurrent shoulder dislocations and may need to be seen by a shoulder specialist. The Emergency Department will refer to back to the Virtual Fracture Clinic if this happens again.
Are there any exercises I can do at home to help?
Yes, following a short period of immobilisation in the sling you can start some gentle exercises at home. The list of exercises can be found at the end of this information leaflet. The clinical team from the Emergency Department or Fracture clinic will refer you for physiotherapy.
What if I need more information or help?
Should you have any concerns regarding your recovery, including persistent stiffness or pain, please contact the fracture clinic.
You can contact the fracture clinic directly if you have any concerns. If you have been given a PIFU you can contact the team to request further appointments. Please see the lists of contacts at the end of this patient information leaflet.
Exercises
These exercises help improve mobility, strength and stability. Try to do these 3 to 4 times per day. Start slowly and stop if you feel pain.
You can start the following hand and wrist exercises immediately:
Elbow Exercises: Gently bend your arm up and down. Repeat 10 times. Hold your affected arm above the elbow. Gently turn your palm up and down. Repeat 10 times.
Wrist Exercises: Support your wrist on the edge of a table with the hand hanging over the edge. Gently move the wrist up and down. Repeat 10 times. You can start the following exercises once the sling is removed after around 2-3 weeks:
Pendulum Swings: Lean forward and let your injured arm hang down. Gently swing your arm in small circles. Do this for 1 to 2 minutes.
Shoulder Blade Squeeze: Sit or stand with your arms at your sides. Squeeze your shoulder blades together. Hold for 5 seconds and repeat 10 times.
Isometric Shoulder Rotation: Stand with your elbow bent at 90 degrees. Press your hand against a wall without moving your arm. Hold for 5 seconds and repeat 10 times.
Wall Crawls: Stand facing a wall. Use your fingers to “crawl” up the wall as high as you can. Hold for a few seconds, then crawl back down. Repeat 10 times.
External Rotation with Band: Attach a resistance band to a doorknob. Hold the band with your elbow bent at 90 degrees. Pull the band away from your body. Repeat 10 to 15 times.
Shoulder Flexion: Lie on your back with a stick or broom handle. Hold the stick with both hands and lift it over your head. Hold for a few seconds and repeat 10 times.
Contact
If you have any queries or concerns then please contact the hospital for further advice.
Between the hours of 9:00am and 4:30pm contact the fracture clinic on:
Scunthorpe: 03033 302164
Grimsby: 03033 306127
Goole: 03033 304036
Out of hours – then please contact the Emergency Department via switchboard:
Scunthorpe/Goole: 01724 282282
Grimsby: 01472 874111
Any comments, compliments, concerns or complaints
If you have any other concerns please talk to your nurse, therapist or doctor. Our Patient Advice and Liaison Service (PALS) is available on 03033 306518 (Grimsby, Scunthorpe and Goole). You can also contact [email protected]
As a Trust we value equality of access to our information and services, therefore alternative formats are available on request at [email protected]
NHS Website
NHS website is a health information service. The aim is to support the public to become active consumers of healthcare rather than passive recipients, and to help individuals, their family or carers to make more informed choices: https://www.nhs.uk/
Review information
Date of Issue: December 2025
Review period: December 2027