Introduction
An isolated 5th metatarsal fracture is a fracture of the bone on the outer part of the foot. This part of the foot normally heals well, and the pain usually settles over several weeks. It can take up to 6 weeks for the fracture to heal and sometimes it may take several months for the pain to settle completely. During this time, it is safe to walk as pain allows. Most people can go home safely without needing further fracture clinic visits. If you have concerns or need another appointment, call the fracture clinic using the contact numbers at the end of the leaflet.

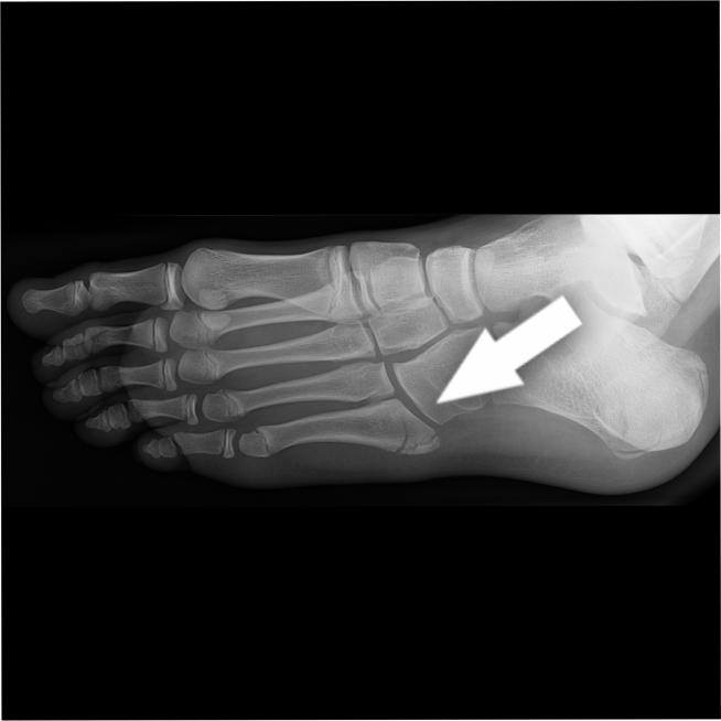
What is it?
A base of 5th Metatarsal (MT) Fracture occurs at the base of the bone on the outside of the foot. It can happen when you twist your foot. You may experience pain on the outside of the foot with difficulty weightbearing as well as bruising and swelling.
How is the diagnosis made?
If you have the symptoms noted above, this will prompt the clinician to get an X-Ray of the foot that can show a break (fracture) in the base of the 5th MT.
How is it treated?
Immediate treatment using the RICE protocol:
- Rest: Reducing your weightbearing and walking for a short time can reduce the pain and swelling
- Ice: Apply ice packs to reduce swelling. Don’t apply the ice directly to the skin. Place the ice in a plastic bag and wrap in a towel
- Compression: Use an elastic bandage, such as Tubigrip, if you have any
- Elevation: When sitting or lying, keep the foot raised on a pillow to reduce swelling.
You should wear wide fitting, supportive footwear such as trainers. These fractures do not normally require a cast.
You should be able to walk fully weightbearing. This may be painful initially and you may need some crutches to help with mobility. You can stop using the crutches once the pain settles.
On occasion, these fractures may fail to heal, and you may need surgery. If the pain persists after several months, contact the Fracture Clinic.
Do I need pain relief?
You can take simple analgesia such as paracetamol or ibuprofen at the recommended doses at home.
How long will it take to recover?
Healing times can vary but most of these will heal with 6 to 8 weeks. You may experience some residual swelling for some months after the injury. However, some activities such as impact sports might require a longer period before you resume the activity.
Do exercises and physiotherapy help?
These types of injuries do not normally need any physiotherapy and any residual stiffness in the foot should resolve with normal activity.
When can I return to work and activity?
Driving – You should not normally drive if you have an injury to the foot that is required to operate the vehicle. You can start driving once the pain has settled enough to be able to control the car safely, for example, being able to do an emergency stop.
Work – If you have a physical or active job, it may take some time before you can return to work but you can usually do this once the pain has settled enough. For less active or office work, you may be able to return to work more quickly.
Sport and Physical activity – Returning to activity and sports depends on each individual’s recovery and the type of work or sport they do. Low-impact activities might be resumed after about 6 weeks depending on pain levels, while contact sports or those that put significant strain on the foot may require several months.
Do I need follow-up?
These fractures do not usually need follow-up, and you may be discharged from the Emergency Department without further appointments.
What if I need more information or help?
You can contact the fracture clinic directly if you have any concerns.
Contact
If you have any queries or concerns then please contact the hospital for further advice.
Between the hours of 9:00am and 4:30pm contact the fracture clinic on:
Scunthorpe: 03033 302164
Grimsby: 03033 306127
Goole: 03033 304036
Out of hours – then please contact the Emergency Department via switchboard:
Scunthorpe/Goole: 01724 282282
Grimsby: 01472 874111
Any comments, compliments, concerns or complaints
If you have any other concerns please talk to your nurse, therapist or doctor. Our Patient Advice and Liaison Service (PALS) is available on 03033 306518 (Grimsby, Scunthorpe and Goole). You can also contact [email protected]
As a Trust we value equality of access to our information and services, therefore alternative formats are available on request at [email protected]
NHS Website
NHS website is a health information service. The aim is to support the public to become active consumers of healthcare rather than passive recipients, and to help individuals, their family or carers to make more informed choices: https://www.nhs.uk/
Review information
Date of Issue: December 2025
Review period: December 2027